整形外科
当院において最も力を入れている分野が整形外科です。
院長の大川は、麻布大学附属動物病院整形外科研修医修了後、
当院だけでなく、愛知県の二次診療センターにて
現在も整形外科手術を行っており、年間の整形外科執刀症例数は約200件あります。

神経外科

椎間板ヘルニア
馬尾症候群

腫瘍外科

肝臓腫瘍切除
副腎腫瘍切除
肺腫瘍切除
口腔腫瘍切除
直腸ポリープ

軟部外科

胆のう切除
尿管ステント
会陰ヘルニア
会陰尿道造瘻術
循環器科
当院では犬と猫の心臓病の診断・治療にも力を入れています。
犬と猫の心疾患は進行性であることが多く、
早期の発見が重要であるとともに、的確な評価をし、
経過を見ていくことが大切になります。
診療は、大学病院やJASMINEどうぶつ循環器病センターで研究員としても従事し、
診療経験が豊富な獣医師の森山が担当いたします。
後天性心疾患(僧帽弁閉鎖不全症、心筋症など)や、不整脈、肺高血圧症などは内科による治療を行い、
先天性心疾患である動脈管開存症や、フィラリア症では外科手術を行います。
手術によって完治できれば健康な動物と同じように寿命を全うすることができます。

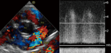
上)生まれつき心臓に異常がある犬の動脈管開存症の超音波画像です。
開胸手術で異常な血管である動脈管を結紮し、現在は完治して健康な犬と同じように元気に過ごしています。

※動脈管開存症の無治療での1年生存率は50%以下です。
心臓病の動物、その飼い主にとってどの治療が最善なのかを常に心がけて診療にあたっています。
当院で受診可能な診療科目
循環器科/呼吸器科
心臓病、肺高血圧症、血栓塞栓症、喉頭麻痺、気管虚脱、気管支炎、 肺炎、咳、鼻涙管炎など
呼吸器外科
肺腫瘍、胸腺腫瘍、気管造瘻術、軟口蓋切除、乳び胸、心膜横隔膜ヘルニア整復など
心臓外科
心タンポナーデ、動脈管開存症、フィラリア症など
消化器科
口腔疾患、食道炎、胃腸炎、胃潰瘍、腸閉塞、炎症性腸疾患、大腸炎、膵炎、膵外分泌不全など
口腔外科
歯周病、歯肉炎、歯石、歯折など
消化器外科
内視鏡検査、消化管内異物、消化管腫瘍、腸閉塞整復、胃拡張胃捻転整復固定など
肝臓、胆嚢外科
肝臓腫瘍摘出、胆嚢粘液嚢腫、門脈シャント手術など
腎臓、泌尿器科
腎不全、腎結石、尿管結石、膀胱炎、膀胱結石、尿道炎など
腎臓、泌尿器外科
腎臓腫瘍摘出、腎結石摘出、膀胱腫瘍摘出、膀胱結石摘出、尿管ステント設置、会陰尿道造瘻、会陰ヘルニア整復など
生殖器外科
子宮蓄膿症、卵巣腫瘍、前立腺嚢胞、前立腺腫瘍、精巣腫瘍など
脳神経科
脳炎、髄膜炎、てんかん発作、椎間板ヘルニアなど
脳神経外科
椎間板ヘルニア、変性性腰仙椎狭窄症(馬尾症候群)、環椎軸椎不安定症(環軸亜脱臼)、椎体骨折など
腫瘍科
リンパ腫、白血病、肥満細胞腫、多発性骨髄腫、組織球肉腫など
腫瘍外科
乳腺腫瘍切除、肥満細胞腫、血管肉腫、軟部組織肉腫、骨肉腫、メラノーマ、扁平上皮癌など
内分泌疾患
糖尿病、甲状腺ホルモン疾患、副腎ホルモン疾患など
内分泌外科
甲状腺腫瘍摘出、副腎腫瘍摘出、膵臓腫瘍摘出など
皮膚科
膿皮症、アレルギー性皮膚炎、アトピー性皮膚炎、感染性皮膚炎、皮膚腫瘍、 外耳炎、中耳炎、耳道切除、レーザー光凝固治療法など

眼科
結膜炎、角膜炎、前部ぶどう膜炎、白内障、緑内障、瞬膜腺脱出整復(チェリーアイ)、眼瞼腫瘍摘出、角膜縫合、結膜移植、眼球摘出術など

手術について
当院では、全身麻酔下での手術をより安全に行う為、
手術前に血液検査・胸部レントゲン検査など必要な検査をさせていただいております。
全身麻酔においては、マルチモーダル麻酔、硬膜外麻酔、局所麻酔などを併用し、
リスクをできるだけ少なくする努力をしております。
手術においては、執刀医、助手、麻酔係、器具係の4人体制で行い、
経験豊富な獣医師が執刀し、最新の設備を導入することで、より安全な手術を心がけております。